See the last post for the case and think it through before reading below…
The correct answer is human granulocytic anaplasmosis (HGA). HGA is caused by Anaplasma phagocytophilium, a Gram-negative obligate intracellular bacterium, that, similar to Lyme disease, is transmitted by the Ixodes scapularis and Ixodes pacificus ticks. The organism enters into the body through the saliva of these ticks, and once within the bloodstream, they specifically target cells of the granulocytic cell line, preferentially entering into and infecting neutrophils. Infection then results in granulocytopenia and leukopenia, thrombocytopenia, fevers, and a wide range of constitutional symptoms, including myalgias, arthralgias, nausea, diarrhea, abdominal pains and chills. As the infection progresses, ocular, CNS and hepatic manifestations can occur as well.
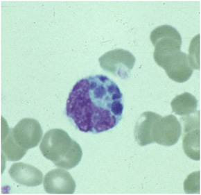
The diagnosis is primarily established by PCR testing, although peripheral smear can sometimes reveal the presence of intra-cytoplasmic inclusions called morulae (See picture), which specifically affect neutrophils. This can help to support the diagnosis. Treatment involves the use of doxycycline, or alternatively, rifampin can be used as well.

Picture Source: CDC
Given the patient’s symptoms, his pancytopenia, his mildly elevated liver function tests, the presence of morulae noted on his smear and given the fact that he is in an endemic area for Anaplasma, HGA is the most likely diagnosis. Acute retroviral syndrome seems less likely given his lack of sexual history. EBV infection can produce similar lab findings, but is not classically associated with unilateral uveitis or morulae. Bartonella henslae is transmitted through the scratch of a cat, and the patient’s above clinical presentation is not typical for this infection. Although Lyme disease can be transmitted through the same tick, it does not classically present with leukopenia, thrombocytopenia or morulae, although in endemic areas, both Lyme and Anaplasma can co-infect an individual, resulting in a mixed clinical picture containing features of both bacterial infections. AML is associated with rod shaped intra-cytoplasmic inclusions (known as Auer Rods), but would not be associated with uveitis.
This infections occurs most frequently in the upper Midwest and in New England, but can be seen in the Mid-Atlantic and Southeast as well.

Source: https://www.cdc.gov/anaplasmosis/stats/index.html


Leave a comment