NOTE: Enjoy this interesting case based question of the the holidays! The answer will be posted next week!
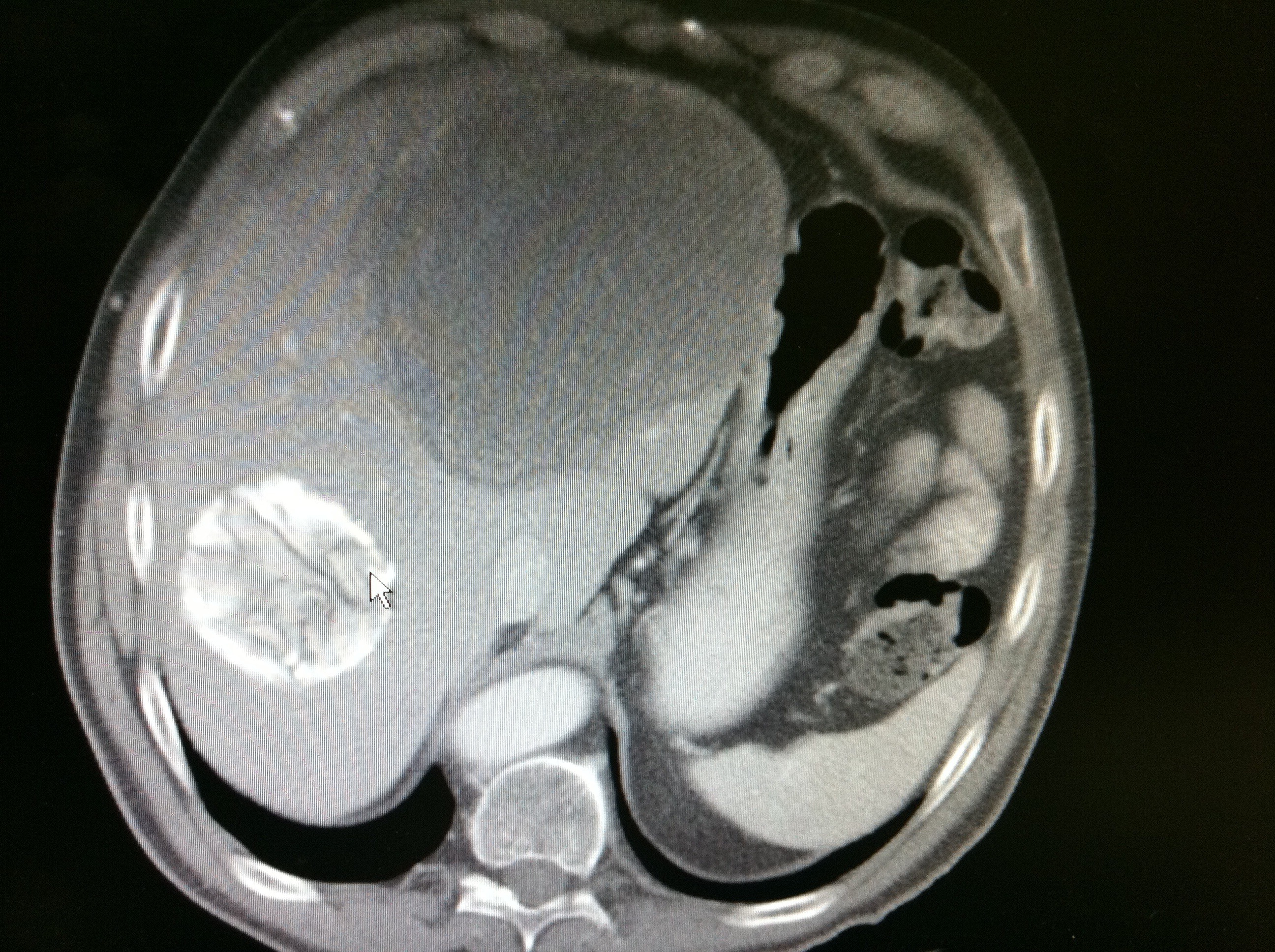
A 47-year-old male farmer from China with a history of chronic Hepatitis B (not on treatment) and biliary stricture in the past presented with complaints of fever, sharp epigastric abdominal pain and nausea/ bilious vomiting that began 48-72 hours prior to admission. Liver function tests were mildly elevated. He was here visiting his daughter from China and was in the U.S for the past 2 weeks. Of note, he had lost about 10 lbs. in the last 5-6 months; this was non-purposeful in nature. ERCP was performed given his symptoms and lab findings, with placement of a stent in the biliary tree due to the presence of another stricture that was found; however, CT scan of the abdomen/pelvis with contrast performed just prior to the ERCP revealed the findings below.

What do you think these findings best represent?
- Hepatocellular carcinoma
- Entamoeba liver cyst
- Echinococcus liver cyst
- Tuberculosis
- Q-fever infection
- Fasciola hepatica infection


Leave a comment